Les signes avant-coureurs de l’AVC lacunaire qui volent silencieusement votre autonomie
Les signes avant-coureurs de l’AVC lacunaire retirent peu à peu leur indépendance à des millions de personnes de plus de 60 ans, sans chute spectaculaire ni alarme évidente. Vous pouvez ressentir une légère lourdeur dans une jambe, un voile mental passager ou un faux pas inexplicable que vous mettez sur le compte du « simple vieillissement ». Petit à petit, ces changements subtils s’additionnent et grignotent votre mobilité, votre clarté d’esprit et votre liberté au quotidien.
Voir des tâches autrefois simples devenir pénibles, alors que l’entourage répète que « c’est normal de vieillir », peut être profondément frustrant et donner un sentiment de solitude et d’impuissance.
Restez jusqu’au bout : vous découvrirez le signe avant-coureur n°4 de l’AVC lacunaire, ignoré par près de 90 % des personnes, ainsi que le moment idéal pour en parler à votre médecin afin de retrouver une vraie tranquillité d’esprit.

🧠 Pourquoi les signes avant-coureurs de l’AVC lacunaire sont si dangereux… et si faciles à manquer
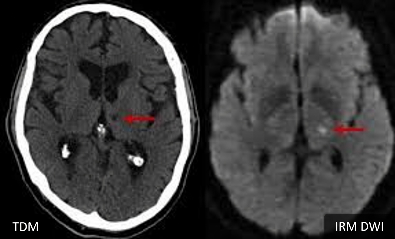
Les signes avant-coureurs de l’AVC lacunaire apparaissent lorsque de minuscules artères situées en profondeur dans le cerveau se bouchent. Cela crée de petites cavités (lacunes) qui endommagent des zones cruciales comme les ganglions de la base et le thalamus.
Beaucoup d’adultes de plus de 60 ans vivent pendant des années avec ces signes avant-coureurs sans s’en rendre compte, observant une diminution progressive de leur équilibre et de leur concentration, tout en mettant ces changements sur le compte de « petits oublis de l’âge ».
L’impact émotionnel de la perte d’une marche stable ou d’une mémoire vive peut transformer de simples plaisirs – jardiner, se promener, jouer avec les petits-enfants – en épreuves quotidiennes. Des études publiées dans de grandes revues de neurologie montrent que ces signes avant-coureurs d’AVC lacunaire doublent le risque de complications futures lorsqu’ils ne sont pas reconnus.
Ce que beaucoup ignorent, c’est que repérer tôt les signes avant-coureurs de l’AVC lacunaire permet d’ouvrir un vrai dialogue avec votre médecin sur votre santé vasculaire et les moyens de la protéger.
⚠️ Signe n°7 : Douleurs soudaines, aiguës ou brûlantes dans un pied, une main ou un côté du corps
Certains signes avant-coureurs d’AVC lacunaire se manifestent par une douleur brutale, en coup de poignard, ou une sensation de brûlure ou de décharge électrique dans un seul pied ou une seule main, sans traumatisme particulier.
Chez de nombreuses personnes de plus de 60 ans, même le simple contact des draps devient insupportable, rendant le sommeil difficile et les journées épuisantes.
Ce type de douleur, liée à une atteinte thalamique due à un AVC lacunaire, est fréquemment confondu avec une neuropathie ou d’autres problèmes nerveux, ce qui retarde la prise en charge adaptée.
Si vous remarquez une douleur unilatérale inexpliquée, surtout si elle est intense ou étrange, notez-la comme un possible signe avant-coureur d’AVC lacunaire à signaler à votre médecin.

⚠️ Signe n°6 : Sensations abdominales ou latérales inhabituelles qui imitent d’autres troubles
Les signes avant-coureurs de l’AVC lacunaire peuvent parfois prendre la forme de crampes ondulantes, de tensions ou d’inconfort dans un côté du tronc ou dans le bas-ventre, sans cause évidente.
Quand les examens sanguins, échographies et autres tests reviennent « normaux », l’inquiétude persiste, entraînant une succession de consultations et beaucoup d’angoisse.
Dans de rares cas, ces sensations dites « référées » sont liées à des perturbations des voies de la douleur provoquées par un AVC lacunaire. Si les examens standards écartent les causes digestives, urinaires ou musculaires, il peut être pertinent d’aborder la piste des signes avant-coureurs de l’AVC lacunaire avec un neurologue.
Le plus surprenant, c’est que beaucoup de personnes reconnaissent le signe suivant… mais attendent malgré tout trop longtemps avant de réagir.
⚠️ Signe n°5 : Faiblesse soudaine ou maladresse d’une main ou d’une jambe
Un AVC lacunaire peut débuter par une main qui devient brusquement lourde ou une jambe qui traîne pendant quelques minutes seulement. Vous pouvez vous surprendre à laisser tomber vos clés, à renverser des objets ou à trébucher, en pensant que vous êtes simplement fatigué.
Ce tableau moteur typique des signes avant-coureurs de l’AVC lacunaire peut apparaître puis disparaître, ce qui donne l’illusion d’un problème bénin. Pourtant, il traduit des changements bien réels au niveau de petites zones profondes du cerveau.
Même si ces épisodes sont brefs, ils méritent d’être pris au sérieux et mentionnés comme des signaux d’alerte possibles d’AVC lacunaire.
Petit bilan mental sur vos propres signes d’AVC lacunaire
- Vous sentez-vous stable quand vous marchez, tournez ou changez de direction rapidement ?
- Avez-vous remarqué récemment une maladresse d’un seul côté (main droite ou gauche, jambe droite ou gauche) ?
- Êtes-vous prêt à découvrir le signe avant-coureur le plus souvent ignoré de l’AVC lacunaire ?
⚠️ Signe n°4 : Difficultés progressives de marche et d’équilibre avec chutes inexpliquées
Les signes avant-coureurs d’AVC lacunaire se manifestent très fréquemment par une marche à petits pas, une impression que les pieds sont « collés au sol », ou des trébuchements répétés que la famille remarque parfois avant vous.
La peur de tomber, combinée à la gêne d’avoir besoin d’aide, pousse beaucoup de personnes à sortir moins souvent, à éviter les escaliers ou les lieux publics, ce qui réduit peu à peu leur cercle de vie.
Ce changement de marche, appelé souvent parkinsonisme vasculaire, est directement lié à des lésions lacunaires dans les zones contrôlant la motricité des membres inférieurs. Il est pourtant attribué à tort à l’arthrose ou au “mal de dos” dans 90 % des cas.
Notez la fréquence de ces épisodes :
- blocage soudain des pieds,
- difficultés à initier la marche,
- déséquilibres ou chutes sans explication claire.
Apportez ces observations à votre prochaine consultation en les mentionnant comme potentiels signes avant-coureurs d’AVC lacunaire.

Beaucoup ignorent aussi à quel point les troubles urinaires peuvent être liés aux mêmes mécanismes cérébraux.
⚠️ Signe n°3 : Urgences urinaires, fréquence accrue et incontinence
Les signes avant-coureurs de l’AVC lacunaire peuvent perturber le contrôle vésical et se traduire par :
- des urgences soudaines pour aller aux toilettes,
- des levers nocturnes répétés,
- parfois des fuites urinaires (incontinence).
La gêne, la peur d’accident en public et la nécessité de repérer en permanence les toilettes peuvent conduire des adultes pourtant actifs à limiter leurs sorties et à adapter toute leur journée autour de ces contraintes.
Les lésions lacunaires peuvent atteindre les circuits frontaux du cerveau qui sont normalement chargés de freiner et de réguler la miction. Si ces troubles urinaires sont récents ou s’aggravent, en particulier associés à des changements de marche ou d’équilibre, ils peuvent faire partie des signes avant-coureurs d’AVC lacunaire.
⚠️ Signe n°2 : Problèmes de mémoire, de concentration et changements de personnalité
Les signes avant-coureurs de l’AVC lacunaire n’atteignent pas seulement le corps ; ils affectent aussi la manière de penser et de ressentir. On observe souvent :
- un ralentissement de la pensée et des capacités de planification,
- des difficultés à organiser la journée, gérer les papiers, suivre une conversation,
- une perte d’élan, de l’apathie ou un retrait progressif de la vie sociale.
Voir son esprit, autrefois vif, devenir plus lent peut susciter une grande inquiétude quant à l’avenir. Ces changements dits de fonction exécutive ne ressemblent pas au simple « vieillissement normal » : ils évoluent plutôt par paliers, avec un déclin plus marqué après chaque nouvel épisode lacunaire.
Reconnaître ces troubles tôt permet d’aborder avec votre médecin la possibilité de signes avant-coureurs d’AVC lacunaire et de discuter d’un bilan complet.

⚠️ Signe n°1 : Brèves périodes de confusion ou de brouillard mental
Les signes avant-coureurs de l’AVC lacunaire peuvent aussi se manifester par de courts épisodes de :
- confusion,
- désorientation (« Où suis-je ? », « Qu’est-ce que j’étais en train de faire ? »),
- sensation de brouillard mental qui se dissipe assez rapidement.
Même si ces moments ne durent que quelques minutes, ils peuvent être très déstabilisants pour les personnes de plus de 60 ans, qui en ressortent inquiètes mais souvent hésitantes à consulter puisque « tout est revenu à la normale ».
Ces épisodes fugaces peuvent signaler une activité pathologique dans des zones profondes du cerveau. Ils méritent une attention médicale, surtout s’ils se répètent, en tant que signes avant-coureurs possibles d’AVC lacunaire.
Comment parler des signes avant-coureurs de l’AVC lacunaire avec votre médecin
Voici quelques actions simples pour préparer une discussion utile avec votre professionnel de santé :
- Suivez l’évolution de vos signes (marche, douleur, mémoire, urine, etc.) dans un petit carnet ou une application, au moins une fois par semaine.
- Mesurez régulièrement votre tension artérielle à domicile et notez les chiffres pour les partager lors de la consultation.
- Demandez conseil sur les changements de mode de vie qui soutiennent la santé des vaisseaux (activité physique, alimentation, sommeil, arrêt du tabac…).
- Sollicitez un bilan de vos facteurs de risque vasculaire (hypertension, diabète, cholestérol, tabagisme, antécédents familiaux) lors de votre prochaine visite.
- Si les symptômes sont nouveaux, marqués ou s’aggravent, mentionnez explicitement “je m’inquiète d’un possible AVC lacunaire” afin que votre médecin évalue la nécessité d’examens complémentaires (imagerie cérébrale, bilan neurocognitif, etc.).
Signes d’AVC lacunaire, vieillissement normal ou autre maladie ?
Il est essentiel de distinguer les signes avant-coureurs de l’AVC lacunaire d’un vieillissement habituel ou d’autres pathologies comme l’arthrose.
| Aspect | Signes avant-coureurs d’AVC lacunaire | Vieillissement typique | Autres affections (ex. arthrose) |
|---|---|---|---|
| Début | Brutal ou par paliers (épisodes marqués) | Progressif et lent | Graduel, parfois lié à un effort ou un faux mouvement |
| Répartition des symptômes | Souvent unilatérale ou très localisée | Ralentissement global, diffus | Douleurs articulaires localisées, symétriques ou asymétriques |
| Impact quotidien principal | Mobilité, équilibre, concentration, continence | Légère baisse d’endurance, de vitesse | Douleur à la mobilisation, raideur articulaire |
| Ce qui aide le plus | Consultation médicale, imagerie, prise en charge vasculaire | Ajustements de mode de vie (sommeil, activité) | Traitements ciblés (anti-inflammatoires, kiné, etc.) |
Comprendre ces différences vous aide à ne pas banaliser des signaux qui méritent un avis spécialisé.

Conclusion : pourquoi reconnaître tôt les signes d’AVC lacunaire change tout
Identifier précocement les signes avant-coureurs de l’AVC lacunaire vous donne le pouvoir de discuter de manière informée avec votre médecin et de protéger votre santé cérébrale et vasculaire.
Imaginez des pas plus assurés, une pensée plus claire et davantage de confiance au quotidien, simplement parce que vous avez appris à repérer ces signaux plutôt que de les attribuer automatiquement à l’âge.
Vous êtes arrivé au bout : vous faites désormais partie des personnes qui passent à l’action face aux signes d’AVC lacunaire, au lieu de les subir.
FAQ sur les signes avant-coureurs de l’AVC lacunaire
Quels sont les signes avant-coureurs d’AVC lacunaire les plus fréquents après 60 ans ?
Les plus courants incluent :
- des changements de marche ou d’équilibre,
- une faiblesse ou maladresse d’un seul côté du corps,
- des urgences urinaires ou des fuites,
que beaucoup de personnes considèrent à tort comme un simple « vieillissement normal ».
Les habitudes de vie peuvent-elles réduire le risque d’AVC lacunaire ou de nouveaux signes ?
Oui. Une activité physique régulière, une alimentation équilibrée, le contrôle de la tension artérielle, la gestion du diabète et l’arrêt du tabac contribuent à protéger les vaisseaux cérébraux. Ces habitudes n’éliminent pas totalement le risque, mais elles peuvent retarder ou atténuer l’apparition des signes avant-coureurs de l’AVC lacunaire.
Quand dois-je consulter mon médecin à propos de possibles signes d’AVC lacunaire ?
Parlez-en à votre médecin dès que vous remarquez :
- des changements récents ou progressifs de marche, d’équilibre ou de chutes,
- des difficultés nouvelles de mémoire, de concentration ou de comportement,
- des douleurs unilatérales étranges ou des troubles urinaires récents.
Mentionnez clairement que vous vous interrogez sur d’éventuels signes avant-coureurs d’AVC lacunaire, afin qu’il puisse vous orienter vers les examens et spécialistes appropriés si nécessaire.
Ce contenu est fourni à titre purement informatif et ne remplace en aucun cas un avis médical professionnel. Consultez toujours votre médecin ou un service d’urgence si vous présentez des symptômes inquiétants ou brutaux.
P.S. Choisissez un seul signe possible d’AVC lacunaire que vous avez remarqué (même très léger) et commencez à le noter cette semaine. Ce petit geste peut aider votre « vous » de demain à rester autonome plus longtemps et à garder une vie active.


