Les AVC lacunaires : des micro-lésions qui grignotent l’autonomie en silence
Les AVC lacunaires abîment discrètement les petits vaisseaux sanguins situés au plus profond du cerveau. À la longue, ils peuvent réduire la mobilité, brouiller la pensée et compromettre la capacité à vivre de façon indépendante. Après 60 ans, beaucoup de personnes attribuent ces changements subtils au « vieillissement normal ». Pourtant, ces épisodes, parfois minuscules et peu visibles, peuvent s’additionner et entraîner une perte d’autonomie majeure.
Repérer tôt les signes d’alerte d’un AVC lacunaire permet d’agir avant que certaines lésions ne deviennent difficiles à récupérer — et un signal en particulier passe presque toujours inaperçu.

Pourquoi les AVC lacunaires passent si souvent sous le radar
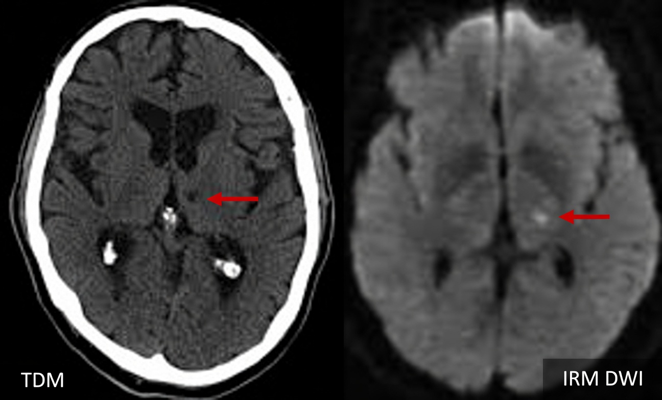
Un AVC lacunaire survient lorsqu’une minuscule artère (parfois à peine plus large qu’un cheveu) se bouche dans les structures profondes du cerveau. Contrairement aux AVC plus étendus, il peut ne provoquer aucun symptôme spectaculaire au départ. Des données rapportées dans des revues comme Stroke et Neurology indiquent que 20 à 30 % des adultes de plus de 60 ans présentent, à l’imagerie, des traces d’AVC lacunaires « silencieux » alors qu’ils se sentent en pleine forme.
Avec le temps, la répétition de ces événements crée de petites cavités (lacunes) dans des zones clés telles que les ganglions de la base, le thalamus et les faisceaux de substance blanche. L’accumulation progressive peut affecter :
- la marche et l’équilibre,
- la mémoire et les fonctions d’organisation,
- le contrôle de la vessie,
… en réduisant la confiance et l’indépendance au quotidien, souvent sans « signal d’alarme » évident.

Les 7 signes d’alerte d’un AVC lacunaire que beaucoup ignorent
Ces symptômes correspondent à des schémas que les neurologues associent à une atteinte des petits vaisseaux (small-vessel disease). Ils méritent une attention particulière, surtout s’ils apparaissent soudainement, s’ils reviennent par épisodes, ou s’ils s’aggravent par paliers.
7) Douleur brûlante ou en coups d’aiguille d’un seul côté du corps
Une douleur vive, électrique ou brûlante dans un pied, une main, ou sur un côté du corps peut devenir intolérable — parfois même un effleurement est douloureux. Ce tableau peut correspondre à un syndrome douloureux central après un AVC lacunaire touchant le thalamus. On estime que 8 à 12 % des personnes ayant eu un AVC développent ce type de douleur chronique, mais beaucoup consultent pendant des mois avant qu’un scanner ou une IRM ne révèle l’origine réelle.

6) Douleur abdominale ou dans le flanc très intense… malgré des examens normaux
Une douleur brutale évoquant une colique néphrétique ou une appendicite, alors que les analyses et examens reviennent négatifs, peut — plus rarement — s’expliquer par une perturbation des voies de la douleur après un AVC lacunaire. Ce mode de présentation atypique retarde parfois le diagnostic, pendant que l’atteinte vasculaire progresse.
5) Faiblesse soudaine ou maladresse dans un bras ou une jambe (même brève)
Lâcher des objets, avoir du mal à boutonner une chemise, sentir un membre « lourd » puis aller mieux rapidement correspond au tableau classique d’un AVC lacunaire atteignant les voies motrices. Comme l’épisode peut être transitoire, il est souvent mis sur le compte de la fatigue — alors qu’il signale un risque actif.
4) Troubles d’équilibre progressifs et chutes inexpliquées
C’est le signe que presque tout le monde attribue au « simple vieillissement ». Une marche traînante, des difficultés à tourner, des blocages (« freezing ») en marchant, des quasi-chutes répétées peuvent orienter vers un parkinsonisme vasculaire, lié à de multiples lacunes au niveau des ganglions de la base et de la substance blanche. Des travaux publiés dans Movement Disorders suggèrent qu’jusqu’à 30 % des syndromes parkinsoniens chez les personnes âgées pourraient être d’origine vasculaire, et non une maladie de Parkinson typique.

3) Urgences urinaires nouvelles ou aggravées, fuites urinaires
Devoir aller aux toilettes très fréquemment, se réveiller plusieurs fois la nuit, ou avoir des accidents peut être vécu comme très gênant. Des AVC lacunaires perturbant les connexions frontales impliquées dans le contrôle vésical peuvent désorganiser la continence. Les études montrent des taux plus élevés de troubles urinaires chez les personnes présentant des changements étendus des petits vaisseaux.
2) Ralentissement intellectuel, difficultés de concentration, changements de personnalité
Planifier devient plus difficile, l’attention diminue, l’expressivité émotionnelle peut s’aplatir. Contrairement à la maladie d’Alzheimer (souvent dominée par la mémoire au début), le déclin cognitif vasculaire lié aux lacunes peut évoluer par paliers, en lien avec de nouveaux événements.
1) Brèves périodes de confusion ou de « brouillard mental »
De courts épisodes de désorientation, de confusion ou de pensée embrumée qui disparaissent rapidement font partie des signes précoces possibles d’un AVC lacunaire. Ces épisodes transitoires, touchant des systèmes de vigilance, peuvent annoncer un risque d’événements plus importants à venir.

Mesures concrètes pour protéger la santé de votre cerveau
Vous pouvez agir dès maintenant. Voici des actions soutenues par les données scientifiques pour ralentir la progression des atteintes des petits vaisseaux :
- Maintenir la pression artérielle de façon régulière sous 130/80 mmHg.
- Viser un LDL-cholestérol < 70 mg/dL si vous avez des facteurs de risque vasculaire.
- Contrôler étroitement la glycémie en cas de diabète.
- Adopter une alimentation de type méditerranéenne : légumes, poisson, noix, huile d’olive.
- Marcher et/ou faire un renforcement musculaire doux la plupart des jours.
- Arrêter le tabac et limiter l’alcool.
- Discuter avec votre médecin d’un éventuel traitement anti-plaquettaire si cela est indiqué.
Signes d’AVC lacunaire vs vieillissement normal vs autres causes
-
Début
- AVC lacunaire : épisodes soudains ou déclin « en marches »
- Vieillissement normal : très progressif
- Autres causes (arthrose, Alzheimer…) : progressif ou selon un autre schéma
-
Latéralisation
- AVC lacunaire : souvent d’un seul côté
- Vieillissement normal : plutôt symétrique
- Autres causes : variable
-
Caractéristiques dominantes
- AVC lacunaire : marche/équilibre, urgences urinaires, douleur centrale
- Vieillissement normal : léger ralentissement, oublis occasionnels
- Autres causes : douleur articulaire, atteinte mnésique primaire, etc.
-
Effet du contrôle des facteurs vasculaires
- AVC lacunaire : peut stabiliser ou ralentir l’évolution
- Vieillissement normal : bénéfice limité
- Autres causes : traitements ciblés différents
-
Imagerie cérébrale
- AVC lacunaire : petites cavités, atteinte de la substance blanche
- Vieillissement normal : changements minimes
- Autres causes : profils différents (atrophie, plaques, etc.)
À retenir
Identifier ces signes d’alerte d’un AVC lacunaire, souvent négligés, et réagir tôt offre la meilleure chance de préserver la mobilité, les capacités cognitives et l’autonomie. De petites actions régulières sur la santé vasculaire peuvent produire un impact réel au fil du temps.
Questions fréquentes
Les AVC lacunaires sont-ils identiques aux AIT (mini-AVC) ?
Non. Un AIT est transitoire sans lésion durable, alors qu’un AVC lacunaire laisse une petite zone de dommage permanent — même si les symptômes peuvent parfois s’améliorer.
Peut-on prévenir totalement les AVC lacunaires ?
Pas dans tous les cas. En revanche, une prise en charge rigoureuse de la tension artérielle, du cholestérol, du diabète et des habitudes de vie réduit nettement le risque.
Quand consulter pour ces symptômes ?
Tout symptôme neurologique nouveau ou qui s’aggrave — surtout s’il est brutal ou unilatéral — justifie une évaluation médicale rapide, avec discussion d’une imagerie cérébrale si nécessaire.
Cet article est informatif et ne remplace pas un avis médical professionnel. Pour tout symptôme ou inquiétude, consultez un professionnel de santé.


