Pourquoi certains examens de santé « de routine » sont à éviter
Beaucoup de personnes planifient des bilans réguliers et acceptent presque automatiquement une longue liste de dépistages. Ce n’est qu’après coup qu’elles découvrent que certains examens médicaux inutiles (dans un contexte de routine) peuvent provoquer plus de stress que de bénéfices : résultats faussement positifs, inquiétude durable, exposition aux rayonnements, ou enchaînement de rendez-vous et de procédures qui n’étaient pas indispensables.
Des initiatives et références reconnues comme Choosing Wisely et Harvard Health rappellent aujourd’hui qu’il existe des tests à éviter chez l’adulte en bonne santé, sans symptôme et à faible risque. L’essentiel est donc de savoir précisément quels examens sont concernés afin de se concentrer sur ce qui améliore réellement la santé.

Pourquoi ces examens « préventifs » créent souvent plus de problèmes qu’ils n’en résolvent
Sur le papier, certains tests semblent rassurants. En pratique, chez une personne sans symptôme, ils peuvent déclencher une cascade : découverte d’« anomalies » bénignes, examens complémentaires, voire gestes invasifs… pour finalement conclure qu’il n’y avait pas de problème réel.
Les données issues de grandes organisations médicales montrent qu’éviter certains dépistages chez les personnes à faible risque réduit les risques (stress, surdiagnostic, surtraitement) sans augmenter la probabilité de passer à côté d’une maladie grave. Connaître les 5 examens ci-dessous aide à prendre des décisions plus éclairées avec son médecin.
1) Scanner (CT) du corps entier : un dépistage à éviter sans symptôme
Le scanner corps entier figure parmi les examens les plus souvent déconseillés en dépistage chez les personnes asymptomatiques. Il implique une dose de rayonnements non négligeable et met fréquemment en évidence de petites images sans gravité (incidentalomes) qui entraînent anxiété et explorations supplémentaires.
Les sociétés savantes de radiologie, ainsi que Harvard Health, recommandent généralement d’éviter le scanner corps entier en dépistage systématique chez l’adulte à risque moyen : le rapport bénéfice/risque est rarement favorable.

2) Électrocardiogramme (ECG) systématique : rarement utile sans signe cardiaque
Un ECG de routine chez un adulte en bonne santé, sans symptôme et sans facteur de risque majeur, fait partie des examens souvent considérés comme peu pertinents. L’ECG peut repérer des variations mineures qui n’ont pas de conséquence, mais qui peuvent conduire à d’autres tests (épreuve d’effort, imagerie, consultations spécialisées) sans bénéfice clair.
De nombreuses recommandations incitent à réserver l’ECG aux situations où il existe des symptômes (douleur thoracique, essoufflement, palpitations) ou un contexte de risque nécessitant une évaluation ciblée.
3) Score calcique coronaire : à discuter, surtout si le risque est faible
Le score calcique (calcification des artères coronaires) peut aider certaines personnes à mieux évaluer leur risque cardiovasculaire. Toutefois, chez les individus à faible risque, cet examen est fréquemment cité parmi les dépistages à éviter : il expose à des rayons X et peut encourager des traitements (par exemple certains médicaments) qui ne sont pas forcément nécessaires.
Les experts recommandent souvent une décision partagée : cet examen peut avoir une place dans des profils spécifiques, mais il n’est généralement pas un réflexe de dépistage pour la majorité des adultes en bonne santé.

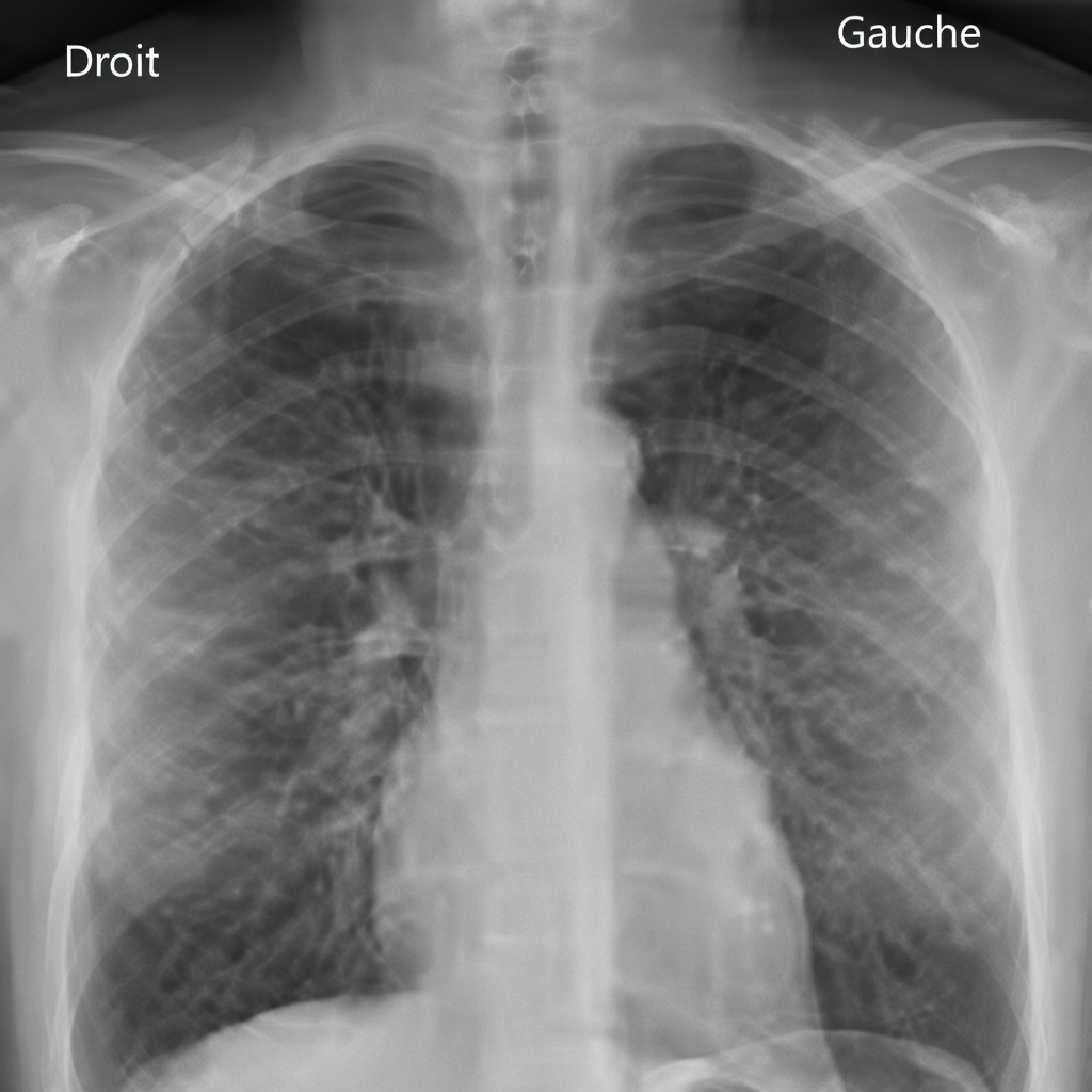
4) Radiographie pulmonaire (radio du thorax) systématique : inutile chez les non-fumeurs sans symptôme
La radiographie du thorax réalisée « par habitude » est un exemple classique d’examen à faible valeur ajoutée chez les non-fumeurs sans problème respiratoire. Même si la dose de radiation est limitée, le risque d’images incidentes et d’explorations inutiles existe.
Les recommandations actuelles privilégient une approche ciblée : une radio thoracique est pertinente lorsqu’il y a des symptômes (toux persistante, fièvre prolongée, essoufflement, douleur thoracique) ou un contexte médical précis, plutôt qu’un contrôle annuel automatique.
5) PSA systématique : dépistage à peser soigneusement chez de nombreux hommes plus âgés
Le dosage sanguin du PSA (antigène prostatique spécifique) peut détecter des cancers de la prostate, mais il peut aussi identifier des tumeurs lentes et non dangereuses qui n’auraient jamais causé de problème au cours de la vie. Le risque est alors le surdiagnostic, suivi de biopsies ou de traitements pouvant entraîner des effets indésirables (troubles urinaires, sexuels, etc.).
Des organismes comme l’U.S. Preventive Services Task Force et de nombreux urologues recommandent une discussion individualisée : âge, antécédents familiaux, origine, état de santé global et préférences personnelles comptent beaucoup avant de décider d’un dépistage.

Questions essentielles à poser avant d’accepter un examen
Avant tout dépistage, préparez quelques informations simples : symptômes éventuels, antécédents familiaux, habitudes de vie (tabac, activité, alimentation) et facteurs de risque connus. Ensuite, demandez clairement :
- « Est-ce vraiment utile dans mon cas, compte tenu de mon niveau de risque ? »
- « Quelles sont les conséquences possibles d’un résultat faux positif ? »
- « Que fera-t-on si l’examen montre une anomalie mineure ? »
- « Existe-t-il une alternative plus sûre ou une surveillance clinique ? »
Cette démarche aide à éviter des examens superflus tout en conservant ceux qui sont réellement pertinents.
Des habitudes quotidiennes plus efficaces que beaucoup de dépistages inutiles
Pour la plupart des adultes, les bénéfices les plus solides viennent de mesures simples et régulières :
- activité physique adaptée et constante
- alimentation équilibrée
- sommeil suffisant
- absence de tabac
- suivi de la tension artérielle et du cholestérol lorsque cela est indiqué
Ces actions protègent souvent davantage que des panels d’examens systématiques, surtout lorsqu’on est sans symptôme et à faible risque.
Notes de sécurité importantes
Ces recommandations concernent surtout les personnes asymptomatiques, à risque faible ou moyen. Il ne faut pas refuser un examen demandé par un médecin lorsqu’il existe un contexte clinique, des symptômes, ou des facteurs de risque spécifiques. La bonne approche consiste à discuter de votre situation complète avant toute décision.
Conclusion : les 5 examens à éviter pour un dépistage de routine chez les personnes à faible risque
Savoir quels dépistages peuvent être inutiles (voire contre-productifs) permet de devenir un partenaire plus averti dans sa propre santé. Même si ces examens sont encore proposés dans de nombreux endroits, de plus en plus de médecins soutiennent une prévention plus intelligente : moins de tests automatiques, plus de pertinence.
Lors de votre prochain bilan, commencez par une question simple : quels examens sont réellement utiles pour moi, ici et maintenant ?
Foire aux questions (FAQ)
Les examens mentionnés peuvent-ils devenir nécessaires ?
Oui. Ils peuvent être très utiles en présence de symptômes, d’un risque élevé, d’antécédents familiaux significatifs, ou d’une situation médicale particulière.
Comment retenir rapidement la liste des examens à éviter ?
Gardez en tête ces 5 points : scanner corps entier, ECG systématique, score calcique à faible risque, radio thorax de routine chez non-fumeur, PSA systématique sans indication claire.
L’assurance peut-elle quand même couvrir ces examens ?
La prise en charge varie selon les pays et les contrats. De plus en plus d’assureurs s’alignent sur des recommandations limitant le remboursement de certains dépistages chez les personnes à faible risque, mais il est préférable de vérifier au cas par cas.


